Карьеру пианиста спасли воронежские врачи, удалив ему опухоль на пальце

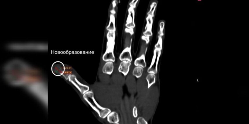
Фото пресс-службы ВОКБ №1. Опухоль на пальце левой руки 47-летнего пианиста удалили хирурги Воронежской областной клинической больницы №1.

Фото пресс-службы ВОКБ №1.

Опухоль на пальце левой руки 47-летнего пианиста удалили хирурги Воронежской областной клинической больницы №1.

На момент обращения к медикам, новообразование, вытеснив мягкие ткани и разрушив часть кости, занимало практически весь ноготь, рассказали в больнице. Для карьеры музыканты это могло стать окончанием профессиональной карьеры.

Биопсия тканей показала, что опухоль доброкачественная. Пианист рассказал, что новообразование появилась два года назад, периодически появлялись боли, иногда рана открывалась.

Удалить опухоль через ноготь, сохранить кость, а также сделать пластику ногтевой фаланги местными тканями смогли хирурги во время этой уникальной операции.

Пациента отпустили домой спустя несколько часов после хирургического вмешательства.

Полноценно вернуться к работе пианист смог уже через месяц.

Ранее «Вести ПК» писали, что пациента с глубокой опухолью в центре мозга прооперировали врачи в Воронеже.

Роман Жилин

Последние новости

В Воронеже три городских маршрута временно изменят

Это связано с перекрытием улицы Фридриха Энгельса Фото: Транспортный блог Три городских маршрута будут работать по временной схеме в центре Воронежа из-за перекрытия улицы Фридриха Энгельса в воскресенье, 6 апреля.

Ультраранние томаты: обзор сортов и гибридов, которые не поздно посеять в апреле

Мечтаете о сочных помидорках с собственной грядки, но по каким-то причинам не успели посеять их на рассаду?

Срочно укрывайте виноград: как спасти плодовые деревья и кустарники от надвигающихся заморозков

Что делать при апрельских заморозках – советы воронежского биолога Фото: freepik.com Синоптики обещают, что после аномально теплого марта, во второй половине апреля в регион придет похолодание и даже снег.

Коррекция фиброза и возрастных изменений: когда показан эндотканевой лифтинг

Как современная технология помогает вернуть коже упругость, убрать отёки и улучшить рельеф без хирургии

На этом сайте вы найдете актуальные вакансии в Березниках с предложениями работы от ведущих работодателей города

Комментарии (0)

Добавить комментарий

Ваш email не публикуется. Обязательные поля отмечены *